Cabinet d'orthodontie des Drs MAJOURAU-BOURIEZ, PHILIPPART-ROCHAIX & LÊ-DACHEUX
ORTHODONTISTES À BOULOGNE-BILLANCOURT

84 bis rue de Paris
92100 BOULOGNE

ORTHODONTISTES À BOULOGNE-BILLANCOURT
Cabinet d'orthodontie des Drs MAJOURAU-BOURIEZ, PHILIPPART-ROCHAIX & LÊ-DACHEUX

Blog - Page 13

La pose de vernis fluoré pour les enfants et les jeunes adultes de 3 à 24 ans

La pose de vernis fluoré pour les enfants et les jeunes adultes de 3 à 24 ans

Le fluor, par voie générale ou en application locale, joue un rôle essentiel dans la protection des dents de l’enfant.

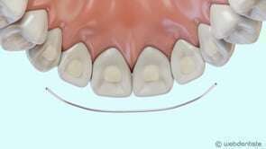
Fil de contention

Fil de contention

Conséquence de la perte des dents postérieures

Conséquence de la perte des dents postérieures

Protocole de dévitalisation d'une dent ou traitement endodontique

Protocole de dévitalisation d'une dent ou traitement endodontique

Parodontite et formation de la poche parodontale

Parodontite et formation de la poche parodontale

Le surfaçage

Le surfaçage

Affichage des articles 73-78 sur 148

Création par Webdentiste

Connexion